3D Mammogram-Digital breast tomosynthesis
ความเหมือนที่แตกต่าง ดิจิตอลแมมโมแกรม 3 มิติ

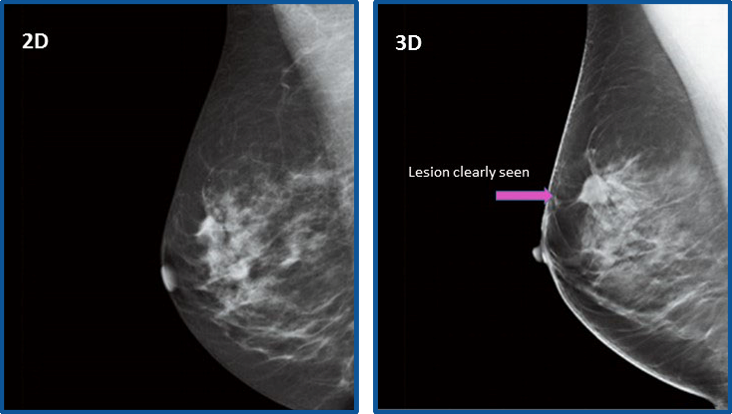
เครื่องเอกซเรย์เต้านมแบบดิจิตอล 3 มิติ (3D Tomosynthesis Mammogram) นวัตกรรมที่ถูกออกแบบให้สามารถถ่ายภาพเอกซเรย์เต้านมได้ทั้ง 2 มิติและ 3 มิติ พร้อมกันได้ในครั้งเดียว และใช้รังสีเอกซเรย์ขนาดกำลังต่ำ ด้วยลักษณะการปรับโฉมของแผ่นกดเต้านมใหม่ทำให้ช่วยลดแรงกดเต้านมได้อย่างดี ทำให้ทำให้ผู้รับบริการรู้สึกสบายยิ่งขึ้น และยังได้ภาพเอกซเรย์ที่มีคุณภาพช่วยให้สามารถตรวจพบความผิดปกติได้มากขึ้น แม่นยำ ตรงจุด ทำให้แพทย์สามารถให้การรักษาหรือเฝ้าติดตามได้ตั้งแต่เริ่มต้น ในขณะที่ยังไม่แสดงอาการ ซึ่งทำให้มีโอกาสในรักษาให้หายขาดได้มากยิ่งขึ้น
แพทย์สามารถดูภาพในแต่ละมิติหรือแต่ละ Slide จากภาพ Reconstruction เพื่อดูขอบเขต และรูปร่างของก้อนเนื้อที่สงสัย สามารถแยกแยะความแตกต่างของไขมันและเนื้อเยื่อ อื่นๆ รวมทั้งท่อและต่อมต่างๆ ในเต้านม เพื่อค้นหาการจับตัวของแคลเซียมที่มีขนาดเล็กมากๆ ที่คาดว่าจะผิดปกติอาจกลายเป็นมะเร็งในอนาคต
@wattanapat.tranghospital #ตรวจคัดกรอง#มะเร็งเต้านม ด้วยเครื่อง #แมมโมแกรม #3มิติ กับ #โรงพยาบาล#วัฒนแพทย์ตรัง ♬ original sound - wattanapat.tranghospital

มีประสิทธิภาพในการตรวจพบมะเร็งเต้านมได้ตั้งแต่ระยะเริ่มแรก จึงมีโอกาสรักษาหายขาดได้สูงมาก
- คุณภาพสูง สามารถแยกก้อนเนื้องอกธรรมดาและก้อนเนื้อที่เป็นมะเร็งเต้านมได้อย่างชัดเจน
- เพิ่มโอกาสในการรักษาได้ทันที ตรวจพบมะเร็งเต้านมได้มากขึ้นถึง 65%
- เจ็บน้อย แผ่นกดเต้านมโค้งเว้าจึงช่วยลดแรงกด
- ภาพมีความคมชัด โดยไม่ต้องตรวจซ้ำ
